ציפויי חרסינה לשיניים
"מה ההבדל בין dental bonding לבין כתרים מפורצלן (חרסינה) ו ציפויי חרסינה לשיניים ?"
Dental bondings
זו תרכובת בצבע השן המודבקת לשן בהליך פשוט המתבצע בביקור אחד במרפאה. הטיפול כולל שיוף קל בלבד של השן, וברוב המקרים אינו מצריך הרדמה.
לעומת זאת, הפורצלן הוא חומר עמיד וחזק יותר, המספק כיסוי אסתטי מיטבי ומטשטש פגמים בצורה יעילה יותר. ציפויי החרסינה המוצמדים לשיניים דקים במיוחד וכמעט בלתי מורגשים. למרות שטיפול בציפויי/כתרי חרסינה מצריך בדרך כלל כשני ביקורים במרפאה, החומר חזק ועמיד יותר מזה המשמש ב-Composite Bonding, ושומר על מראהו ויציבותו לאורך זמן.
ציפוי חרסינה אסטתי ונטה פחות להכתמה.
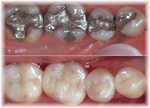
"סתימות לבנות"
אם אני צריך/ה סתימה – איזה סוג כדאי לבקש?
בעבר היה נהוג להשתמש באמלגם (כסף) או בזהב לשחזור שיניים אחוריות. כיום, רופאי שיניים רבים מעדיפים להשתמש בחומרים מתקדמים בצבע השן, כגון קומפוזיט או חרסינה, וכן בתרכובות חזקות אחרות העמידות בפני שחיקה ושומרות על מראה טבעי ואסתטי.
לעיתים ניתן “לרענן” את מראה השן באמצעות הוצאת הסתימה הישנה והחלפתה בסתימה חדשה בצבע השן, המשתלבת באופן כמעט בלתי נראה עם השן הטבעית.
מומלץ להתייעץ עם הרופא המטפל לגבי ההתאמה והכדאיות של טיפול
זה בהתאם למצב השן, מיקומה בפה ועומסי הלעיסה.

